

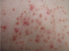
湿疹怎么消除?湿疹是一种常见的皮肤炎症,常出现在人体的关节弯曲处,如手肘、膝盖等。这种炎症会导致皮肤痒痛、发红、肿胀、起...[详情点击]

湿疹怎么治疗?湿疹是一种常见的皮肤疾病,临床上多表现为皮肤发红、瘙痒、起水疱、脱屑等症状。由于该病的复发率较高,病情较为...[详情点击]

湿疹应该怎么治疗?湿疹是一种常见的皮肤病,给患者带来了很大的不便和困扰。那么,面对这样的疾病,我们应该如何选择一个好的医...[详情点击]

湿疹是怎么引起的?湿疹是一种常见的皮肤病,它是由多种因素引起的。许多人对它的发病原因还不太清楚,但有一些已知的触发因素和...[详情点击]

湿疹对身体有影响吗?湿疹是一种常见的皮肤疾病,对身体有一定的影响。下面将介绍湿疹的症状,并回答题目所提出的问题。 在线咨...[详情点击]

厦门治疗脸上湿疹好的办法?湿疹,又称湿疹性皮炎,是一种常见的慢性皮肤病,主要特征是皮肤红肿、瘙痒、起水疱、结痂等症状。湿...[详情点击]

厦门面部湿疹好的治疗方法?面部湿疹是一种常见的皮肤疾病,主要症状包括皮肤红肿、瘙痒、起泡和糜烂等。对于患有面部湿疹的患者...[详情点击]

厦门哪里专业治疗湿疹?湿疹是一种常见的皮肤病,常见于婴幼儿和成人,常见的症状包括皮肤瘙痒、红肿、皮疹、起泡和糜烂等。湿疹...[详情点击]

厦门广肤皮肤病专科坐落于厦门市思明区湖滨中路7-9号第二层B单元,地理位置优越,交通便利,就医环境优雅舒适。是卫生部门批准成立的一家皮肤病专科研究院。厦门广肤皮肤病专科自创建以来...【详细】

电话:0592-2281966
门诊时间:8:00—18:30(节假日不休)
地址:厦门市思明区湖滨中路7-9号第二层B单元
闽ICP备2020023146号-16
闽公网安备 35020302034363号